The latest news, tips, and advice from VeterinaryPracticeNews.com
Veterinary Practice News
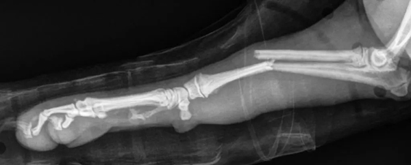
Can you solve this puzzle?
Can you solve this puzzle?
Test your veterinary knowledge with our monthly challenge, featuring a Pomeranian puppy presenting with right forelimb lameness.
 
Redefine defense for your patients
Sponsored
Credelio Quattro is tasty and easy to give.
FDA accepts safety data for canine longevity drug
 
FDA accepts safety data for canine longevity drug
The FDA’s Center for Veterinary Medicine has accepted the Target Animal Safety (TAS) for LOY-002. Learn more about what this ‘milestone’ means in the pursuit of an FDA conditional approval.
A look at common considerations for pain management in senior pets
 
A look at common considerations for pain management in senior pets
Let’s break down pharmaceutical and non-pharmaceutical options when dealing with pain in apparently healthy geriatric patients.
Amp up your practice with a few low-cost, low-labor projects
 
Amp up your practice with a few low-cost, low-labor projects
These simple, low-labor, low-cost improvements can make a big difference to your clients, colleagues, and patients.
8 annoying new client questions and demands
 
 VPN Plus+ Exclusive
8 annoying new client questions and demands
Dr. Patty Khuly lists a few examples of 'hot‑take trends' that may make exam room discussions increasingly fraught.
Invest in your veterinary career with VPN Plus+
 
Invest in your veterinary career with VPN Plus+
Unlock exceptional value in veterinary CE with VPN Plus+. Enjoy free and discounted VetCE Virtual events and VetCE On Demand courses, exclusive premium articles and marketing tools, and an annual Vet Box packed with surprise goodies for Annual Standard and Premium members. Learn, connect, and grow with VPN Plus+—join today!
Kenilworth Media Inc.
E-mail: online@veterinarypracticenews.com
Website: www.veterinarypracticenews.com
Mailing Address: 266 Elmwood Ave #289, Buffalo, NY 14222
Tel: (866)572-5633, Fax: (866)572-5677
 
Follow us on